news_header_top
16+
news_header_bot
news_top

Врачи РКБ Татарстана удалили пациенту опухоль легкого, проросшую в селезенку

Читайте нас в

В Татарстане хирурги РКБ успешно удалили пациенту опухоль легкого, проросшую в селезенку. Об этом сообщает пресс-служба медучреждения.

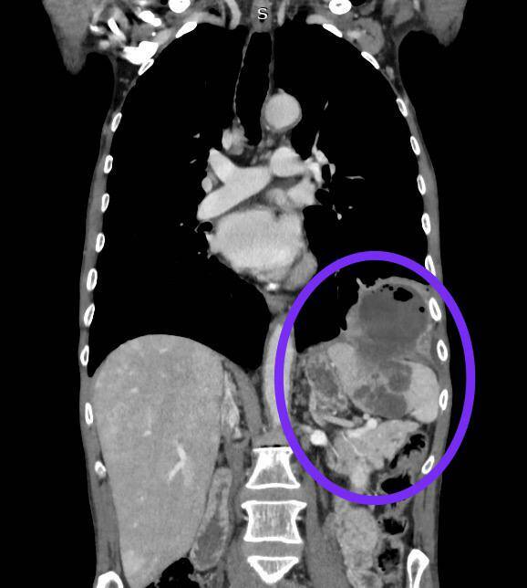
В июне 64-летний житель Актанышского района обратился в поликлинику с жалобами на постоянную слабость и резкое похудение — за несколько месяцев он потерял почти 10 килограммов. Анализы показали низкий гемоглобин, низкое давление тоже вызывало вопросы у врачей ЦРБ. На снимках районные специалисты увидели абсцесс нижней доли легкого и позвонили коллегам в Республиканскую клиническую больницу.

Торакальные хирурги – специалисты РКБ, изучив клиническую картину, заподозрили злокачественный процесс. В отделении торакальной хирургии пациенту поставили предварительный диагноз – образование нижней доли легкого с распадом.

Фото: РКБ Татарстана

По словам врачей, за свою практику они впервые увидели опухоль нижней доли легкого, которая сквозь диафрагму проросла в селезенку и при этом некротизировалась.

При такой опухоли были все показания сделать обменную операцию с большим разрезом живота. Но чтобы сделать операцию менее травматичной для пациента, заведующий отделением торакальной хирургии №1 Валерий Матвеев пригласил на операцию заведующего хирургическим отделением №2 Линара Зиганшина.

Сначала абдоминальные хирурги лапараскопически отделили селезенку от опухоли, затем торакальные хирурги — Константин Шкляев и Валерий Матвеев — взялись за легкое и диафрагму через мини-разрез между ребрами.

Операция длилась 5 часов. Хирургам удалось удалить одним блоком огромную опухоль и сделать сложную пластику диафрагмы. Вмешательство прошло успешно.

Пациент провел двое суток в реанимации и уже выписан домой. Впереди еще этап лечения у химиотерапевтов.

news_right_1
news_right_2
news_bot