news_header_top
16+
news_header_bot
news_top

Врачи РКБ удалили из гортани пациента огромную опухоль – это третий такой случай в России

Читайте нас в

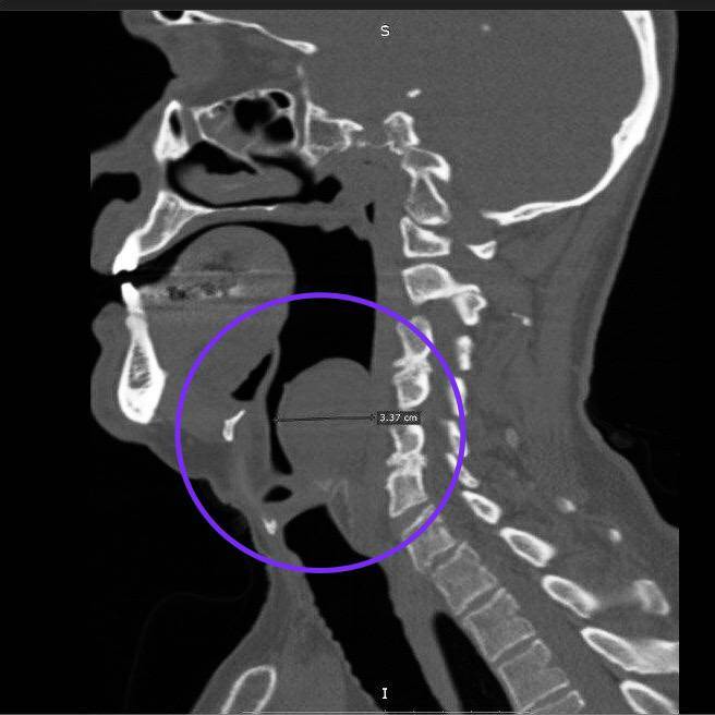
Гигантскую доброкачественную опухоль – миксому удалили оториноларингологи Республиканской клинической больницы из гортани пациента. Об этом рассказали в пресс-службе клиники.

Фото: Пресс-служба РКБ

Уникальность случая в том, что обычно миксомы вырастают в сердце. Подобное образование в горле – редкость. В России было описано всего два подобных случая.

Однако у 67-летнего татарстанца опухоль из соединительных тканей выросла уже во второй раз.

«Впервые образование выросло до трех сантиметров в диаметре еще в 2021 году. В лор-отделении РКБ Татарстана его прооперировали и благополучно вписали. Но весной этого года мужчина снова пошел к врачам – вновь выросшая опухоль мешала ему глотать пищу», – объяснили в пресс-службе РКБ.

Фото: Пресс-служба РКБ

На этот раз оториноларингологи больницы удалили образование диаметром уже восемь сантиметров. Операция длилась полтора часа. Удалили опухоль через рот, дополнительные разрезы не потребовались. Сейчас мужчина идет на поправку.

news_right_1
news_right_2
news_bot