news_header_top
16+
news_header_bot
news_top

В Татарстане врачи удалили огромное образование из грудной клетки пожилой женщины

Читайте нас в

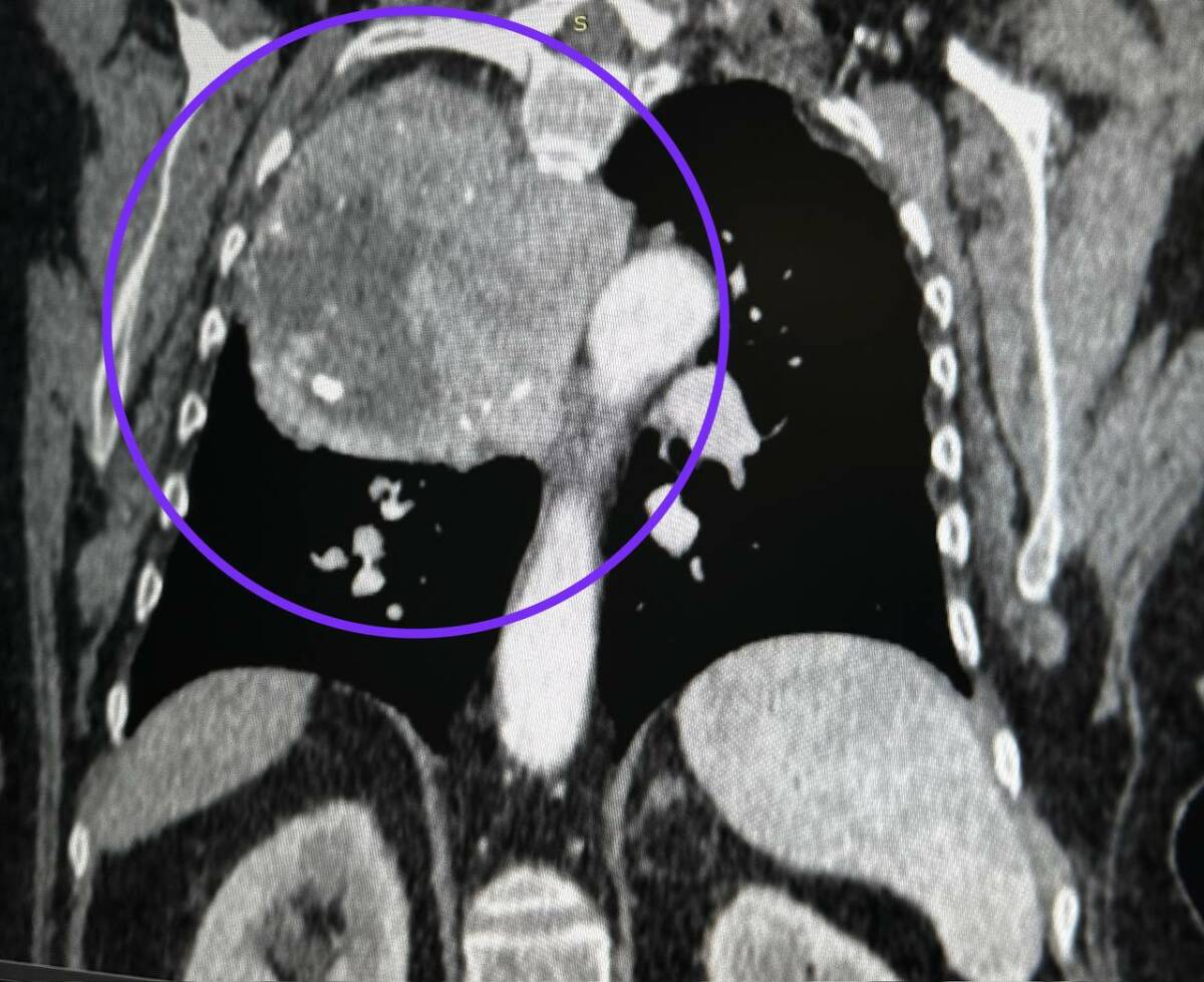
Торакальные хирурги РКБ Татарстана провели операцию по удалению крупного образования из грудной клетки 75-летней пациентки. Об этом сообщает пресс-служба медучреждения.

В конце прошлого года пожилая женщина стала задыхаться, появился странный кашель, возникли проблемы с глотанием пищи, а также постоянные боли в области груди.

Еще в 2017 году подобные симптомы позволили выявить аномально увеличенную щитовидную железу, расположенную нетипичным образом. Тогда врачам пришлось провести удаление опухоли практически со всей железой. Но в этот раз опухоль выросла из нижнего полюса щитовидной железы и заняла треть грудной клетки.

Фото: Пресс-служба РКБ Татарстана

Как отметили врачи, в их практике такое образование встречается впервые. Хирурги успешно выполнили операцию, удалив опухоль через разрез между ребер за три часа.

Сейчас пенсионерка уже дома, чувствует себя хорошо и сердечно благодарит врачей.

news_right_1
news_right_2
news_bot